“You have a cyst”. To a patient, those words immediately provoke fears of cancer, surgery, and hysterectomy. Unfortunately, gynecologists usually are not particularly adept at allaying those fears. Fortunately, however, the vast majority of “cysts” discovered during pelvic exams or ultrasounds in premenopausal women are destined to resolve spontaneously if we just leave them alone. Most are “functional” cysts that are the result of a normal ovulatory function.
Generally speaking, the term “cyst” refers to a growth within the ovary that is filled with fluid. The fluid might be thin and watery (like water) or thick and viscous (like syrup). This characteristic (viscosity) can be easily determined by transvaginal ultrasound and is key to understanding the nature of the mass. Both benign and malignant tumors can be cystic, but the term “tumor” usually refers to a growth within the ovary that is solid, with little or no fluid component. Some ovarian masses have both solid and cystic components.
An overview of ovarian “cysts” must be divided into two segments: premenopausal and postmenopausal. “Cysts” or tumors in these two groups of women differ significantly in etiology, diagnosis, and treatment.
“Cysts” in Premenopausal Women
In a normal menstrual cycle, one (or occasionally both) ovaries begin to enlarge shortly after the onset of menses. By day 10 to 14 of the cycle, a dominant follicle (cyst) has developed. This “cyst” can be 4 centimeters or more in diameter. After ovulation, it can be larger. Should a pelvic exam or transvaginal sonogram be done around day 14 of the cycle (or later), a “cyst” is almost always found. It is a normal, natural process. At the time of ovulation, the follicle (cyst) ruptures and an egg (oocyte) is released. This can be associated with bleeding inside the abdomen and pain. Once ovulation has occurred, the remaining “cyst” is called a corpus luteum. It is an entirely normal and natural “cyst”. Unfortunately, when a corpus luteum cyst is seen on sonogram, it may have an unusual, complex appearance, displaying both solid and cystic components. This sonographic appearance is caused by varying amounts of blood and blood clots contained within the cyst.
When a cyst “ruptures”, it is usually a follicle that has released an egg along with a few ounces of follicular fluid. If the follicle ruptures through a blood vessel (which is not uncommon), blood accumulates in the pelvis and can cause a lot of pelvic pain. The pain can be severe and acute, but is almost always self-limited. This is usually called a “hemorrhagic” cyst. It is completely normal and almost never requires surgery. Corpus luteum cysts will virtually always resolve (heal) spontaneously if left alone. When a corpus luteum cyst or a simple functional cyst (follicle) is found, nothing need be done. A simple transvaginal sonogram performed a few weeks later will confirm that the “cyst” has resolved.
When a “cyst” is found, one can never be absolutely certain of the diagnosis without surgery. The gynecologist must decide if there is reason enough to suspect that this cyst might be a benign tumor or a malignancy and, therefore, require surgical intervention. Multiple factors influence this decision, including the patients age, symptoms, concurrent medications, the sonographic characteristics of the mass, last menses, changes in the appearance of the mass over time, and blood tests. The ultrasound characteristics of the mass are, arguably, the most important factors.
“Cysts” in Postmenopausal Women
Since postmenopausal women no longer ovulate, “functional” cysts do not occur, therefore gynecologists are much more concerned about “cysts” found in postmenopausal women than their premenopausal counterparts. These “cysts” are much more likely to be benign or malignant tumors that require surgical intervention.
Regardless, the vast majority of ovarian “cysts” discovered during routine pelvic exam or sonogram do not require surgery.
The photos below show several different types of ovarian masses:
Left photo – a normal left fallopian tube and left ovary. Right photo – a normal right fallopian tube and ovary
Left photo – a greatly enlarge right ovary containing a dermoid cyst. Right photo – after the dermoid had been removed by laparoscopy.
Left photo – a tumor arising from the right ovary. Middle photo – a closeup of the ovarian mass, which was an ovarian fibroma (a benign solid ovarian tumor). Right photo – taken after the fibroma had been removed by laparoscopy.
Left photo – a large left ovarian dermoid tumor. The patient also has a uterus didelphys (2 separate uteri) connecting to a single cervix. Right photo – An incision has been made in the surface of the ovary.
Left photo – the dermoid tumor is almost out of the ovary. Right photo – A postoperative view after the dermoid has been removed. A large portion of the left ovary remains. This procedure was performed by laparoscopy allowing the patient to go home the same day.
Left photo – a large benign serous cystadenoma is in the left ovary. Right photo – the benign cystic tumor has been remove by laparoscopic techniques. The patient went home the same day.
Left photo – a large solid mass arising from the left ovary – an ovarian fibroma. Right photo – the fibroma can be seen growing from the lower part of the otherwise normal left ovary.
The same patient after laparoscopic removal of the left ovarian fibroma.
This photo shows a corpus luteum (yellow body) in the left ovary. It is the reddish area just to the right of the silver probe holding the left fallopian tube away. Immediately after ovulation (about day 14 of a normal 28 day menstrual cycle), the cyst that had contained fluid and the ovum (egg) forms the corpus luteum which produces large amounts of progesterone and smaller amounts of estradiol and inhibin, all of which are necessary to properly prepare the endometrium (inside lining of the uterus) for implantation of a fertilized egg.
These two photos show implants of a serious Low Malignant Potential (LMP) tumor on the surface of both the right and left ovaries. The tumor implants are clear to reddish glandular spots on the ovarian surfaces. Those on the surface of the left ovary (left photo) demonstrate very small, fine capillaries (blood vessels) growing away from the tumor implants.
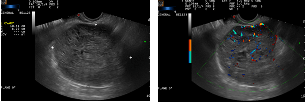
These photos taken during a transvaginal ultrasound show a solid mass in the left ovary about the size of a grapefruit. The right photo adds color Doppler to the examination and shows that the mass is full of blood vessels. These findings are, unfortunately, most often found in an ovarian malignancy. This mass proved to be a granulosa cell tumor in this young lady.
Dr. Johns is accredited in Gynecologic (including 3D) ultrasound by the American Institute of Ultrasound in Medicine (AIUM), the only practice in Fort Worth with such a distinction.











